920685
 
        介紹和解釋實驗室儀器的工作原理、操作步驟、維護保養、技術規范、應用案例等內容
實驗背景
對分枝桿菌來說,因細胞壁結構特殊,阻礙了其在人和動物結核病診斷上的應用。選取已報道的布魯氏菌和結核分枝桿菌16sRNA探針,通過改進樣品處理方式、優化雜交條件,進一步簡化操作步驟,同時利用本實驗室保存的菌株和組織樣品,對探針的特異性進行評價,最終建立了一個快速、準確的“兩病”熒光原位雜交診斷方法。
實驗步驟
將冷凍保存的布魯氏菌株接種于布魯氏菌液體培養基(BBL),37℃培養2d;牛、禽結核分枝桿菌接種于羅氏培養基,37℃培養4周;回收培養物,PBS洗一遍,然后加入1% PFA溶液,混勻,4℃冰箱過夜。以上操作須在生物安全三級實驗室進行,FPA固定后的步驟可在生物安全二級實驗室進行。
將固定后的菌液用PBS洗兩遍,然后涂布于載玻片上,風干待檢。對布魯氏菌,依次在30%、70%、100%乙醇中處理5 min,然后置陰涼處自然風干;加200μL雜交液,45℃雜交1.5~4h;用44℃預熱的洗滌液洗滌2 min,雙蒸水沖洗后,滴加抗熒光淬滅封片劑,鏡檢。對牛結核分枝桿菌,把樣品在二甲苯中作用10~20 min后,依次在100%、70%、30%乙醇和PBS緩沖液中處理5min,用溶菌酶(1mg/mL)和消色肽酶(30U/mL)消化20min,然后分別在PBS以及30%、70%、100%乙醇中處理5min,風干;滴加雜交液,使用分子雜交爐(LF-IIIA,寧波新芝)于45℃雜交4 h,用37℃預熱的洗滌液洗滌20min,最后封片鏡檢。對組織研磨液,短暫離心,取上清,PFA固定后涂片。對痰液樣品,先涂片,再用PFA固定,雜交過程與上相同。
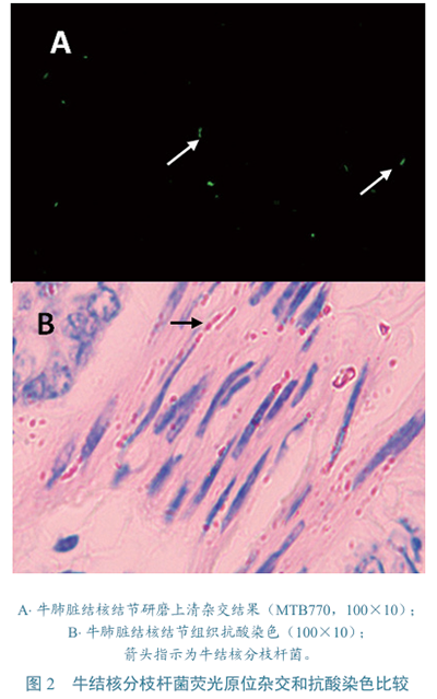
實驗結果
布魯氏菌???:雜交前,對布魯氏菌無需特別處理,45 ℃雜交1.5 h即出現紅色熒光信號,200倍放大下觀察,清晰可見(圖1-A、B)。雜交3 h可完全滿足檢測需要,延長時間至8 h或12 h,信號強度不會明顯增加,因而布魯氏菌熒光原位雜交簡便、快速,可在4 h內完成。Bru-996探針與布魯氏菌S2、A19、Rev.1疫苗株和HN6、XJ-1分離株,均產生雜交信號,在牛結核分枝桿菌、禽結核分枝桿菌和大腸桿菌中沒有觀察到熒光信號,表明該探針具有較高的特異性。從5個已知布魯氏菌病羊組織病料(2個肝臟、2個脾臟、1個胎盤)中均成功檢測到布魯氏菌(圖1-C),證明該方法具有較高的敏感性。在高倍放大下觀察,布魯氏菌呈短桿菌,小于大腸桿菌(圖1-D)。

牛結核分歧桿菌???牛結核分枝桿菌樣品雜交前,須用二甲苯和溶菌酶處理(也可使用消色肽酶,但非必須),二者缺一不可。二甲苯需處理至少20 min,溶菌酶需消化30 min,以充分去除表面的酸類物質,從而獲得充分的通透性,便于探針進入并與RNA雜交。45 ℃雜交4 h,可獲得最佳效果,縮短雜交時間會影響信號強度。因此,牛結核分枝桿菌的檢測時間較長,需6~8 h。從牛肺臟結核結節研磨液上清中,成功檢測到牛分枝桿菌(圖2-A),經抗酸染色檢出較多的抗酸菌(圖2-B)。結核病陽性牛鼻腔拭子中,未檢出典型的牛結核分枝桿菌。

本研究建立了布魯氏菌與結核分枝桿菌的熒光原位雜交快速檢測方法。針對布魯氏菌優化后實現4小時精準檢測,Bru-996探針特異性強,可檢出臨床組織樣本中病原體;牛結核分枝桿菌通過二甲苯脫脂與酶解預處理突破細胞壁屏障,6-8小時完成檢測,與抗酸染色結果一致。該方法操作安全高效,為布魯氏菌病和結核病的臨床診斷提供了可靠技術支撐。
24小時服務熱線 18106650612